«А покажите, где это на картинке?»

4000,00
р.
Пояснение с выделением и необходимыми пометками на изображениях
Пример входящего исследования
Пример пояснения описания и заключения

Пример входящего исследования

Описание: На томографе Philips Ingenia (магнитное поле 3T) проведена МР-томография головного мозга, начальных отделов позвоночника и элементов позвоночного канала шейной области с использованием бесконтрастных методик T1-TFE (3D), FLAIR-SPIR (3D), T2-TSE (axi), DWI (axi), SWIp screen (axi), T2-TSE (sag), T1-TSE (sag). Исследование осложнено динамическими артефактами.
Очаговой патологии головного мозга, зон ограниченной диффузии (острой ишемии) не выявлено.
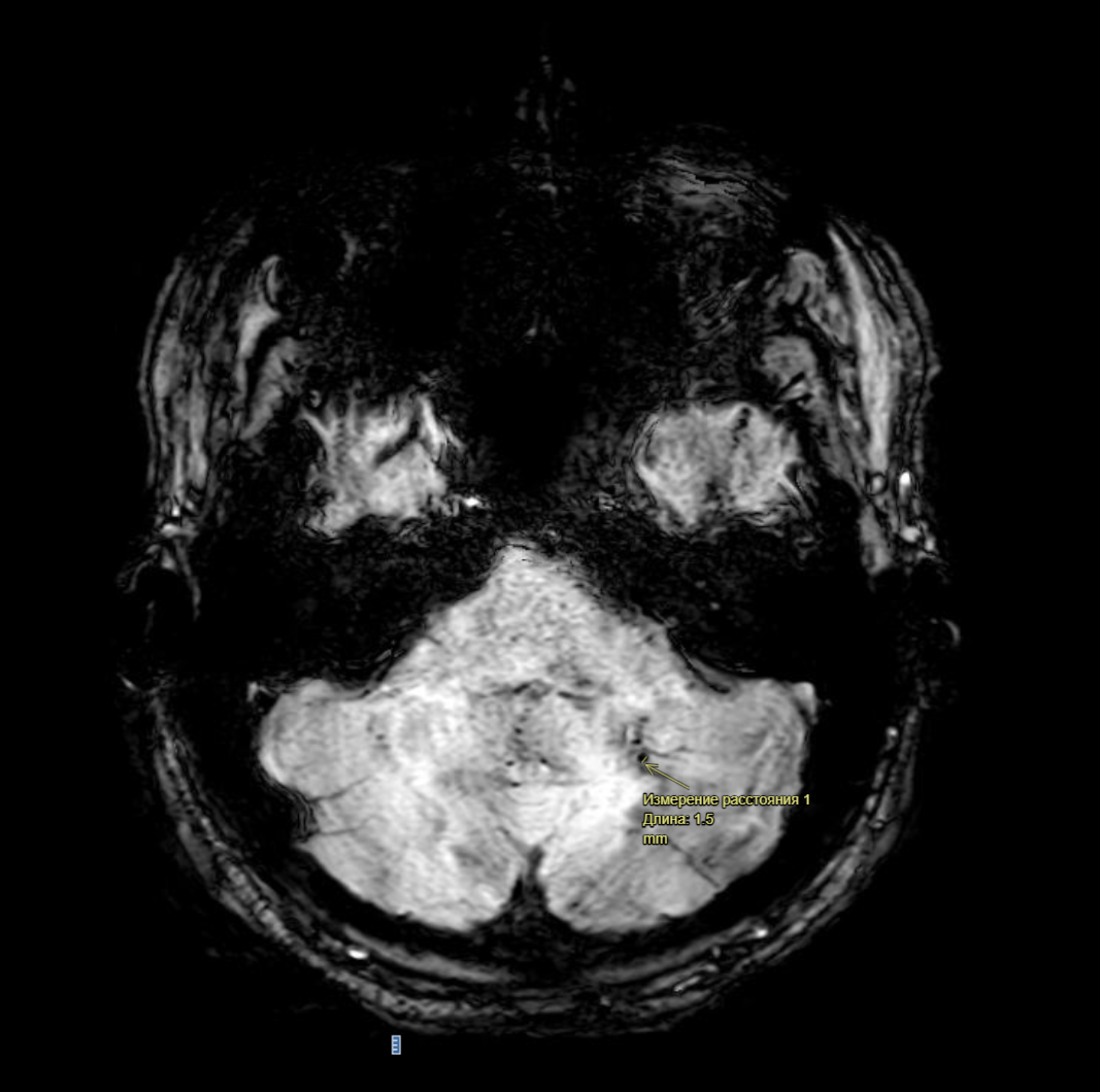
В структуре левой гемисферы мозжечка визуализируется тонкая сосудистая структура, распадающаяся на мелкую сеть по типу "метелки", гипоинтенсивного на SWI, Т1-ВИ, изоинтенсивного на Т2-ВИ сигнала, диаметром до 1,5 мм. Перифокальных изменений, в том числе геморрагических не выявлено.
Срединные структуры головного мозга не смещены. Различие МР-сигнала серого и белого вещества головного мозга достаточное. Желудочковая система: боковые желудочки симметричны, не расширены (до 10 мм - на уровне преддверий), III-й желудочек не расширен (до 3,5 мм), форма сохранна, IV-й желудочек не расширен (передне-задний размер - 11,5 мм, форма сохранна); Сильвиев водопровод - не расширен. Определяется расщепление прозрачной перегородки в задних отделах (cavum Vergae) поперечным размером до 5,5 мм - вариант развития.
Гипофиз имеет правильную симметричную форму, структура его на Т1-ВИ и Т2-ВИ гомогенная, не увеличен (вертикальный размер гипофиза 4,5 мм, норма до 8 мм). Опто-хиазмальная цистерна не расширена. Воронка гипофиза не отклонена. Хиазма зрительных нервов не деформирована. Форма и размеры эпифиза не изменены.
Миндалины мозжечка расположены выше уровня большого затылочного отверстия, не заострены. Конвекситальное субарахноидальное пространство, борозды полушарий не расширены.
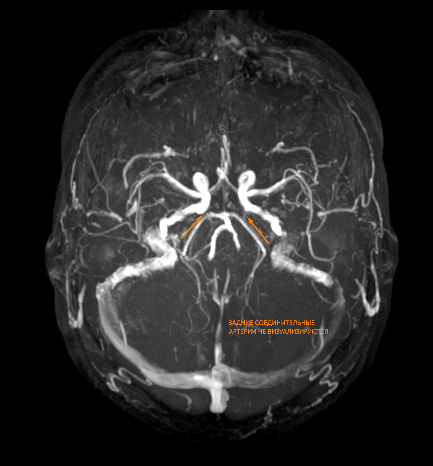
На МР-ангиограммах: cигнал от кровотока по позвоночным артериям симметричный: около 3,5 мм. Ход позвоночных артерий типичный. Сигнал от кровотока по внутренним сонным артериям (ВСА) симметричный: около 4,5 мм. Ход ВСА не изменен. Базилярная артерия имеет типичный ход, просвет равномерный. Виллизиев круг симметричен: выявлена передняя соединительная артерия, кровоток по задним соединительным артериям не визуализируется - вариант развития. Венозный отток сохранен, сигнал от кровотока по поперечным и сигмовидным синусам минимально асимметричный (c доминированием справа).
В шейном отделе спинного мозга без видимых патологических изменений. В шейном отделе позвоночника лордоз сглажен, высота межпозвонковых дисков С5-6 и С6-7 снижена на фоне формирующихся задних протрузий. Тела позвонков правильной формы и размеров. Передний контур позвоночного канала не деформирован.
Пневматизация придаточных пазух носа сохранена. Структуры внутреннего уха и орбит без дополнительных образований, симметричны.

Заключение: Одиночная мелкая сосудистая структура в структуре мозжечка - венозная ангиома. МР-картина незамкнутого Виллизиева круга. Легкая асимметрия венозного оттока по базальным синусам и внутренним яремным венам (в пределах индивидуальных особенностей развития). Дегенеративно-дистрофические изменения в шейном отделе позвоночника 1 периода.

Рекомендована консультация невролога, МРТ в динамике.

Пример пояснения описания и заключения

Пояснение описания и заключения.
В данном исследовании проводилась магнитно-резонансная томография с напряженностью магнитного поля 3,0Т головного мозга и начальных отделов позвоночника и спинного мозга, основных сосудистых структур в скрининговом режиме с шагом сканирования 1-4 мм.
Использовались методики: Т1-TFE (3D), FLAIR-SPIR (3D), T2-TSE (axi), DWI (axi), SWIp screen (axi), T2-TSE (sag), T1-TSE (sag), TOF intraC (3D), TOF extraC (3D).
Заключение врача-рентгенолога – это резюме всей работы, в которое выносится основная самая важная информация. В данном случае вынесено:

1.Одиночная мелкая сосудистая структура в структуре мозжечка - венозная ангиома.
Разберем, что это означает. Из описания «В структуре левой гемисферы мозжечка визуализируется тонкая сосудистая структура, распадающаяся на мелкую сеть по типу "метелки", гипоинтенсивного на SWI, Т1-ВИ, изоинтенсивного на Т2-ВИ сигнала, диаметром до 1,5 мм. Перифокальных изменений, в том числе геморрагических не выявлено».
Пояснение: Венозная ангиома – это венозная аномалия развития, которая может быть разным размеров давать различную клиническую картину. В данном случае она находится в структуре левой гемисферы мозжечка, мелких размеров 1,5 мм, без каких-либо изменений окружающих тканей и кровоизлияний (см.рис 1).

2.МР-картина незамкнутого Виллизиева круга.
Виллизиев круг состоит из передней и задних соединительных артерий, начальные сегменты передней и задней мозговых артерий, супраклиновидного сегмента внутренней сонной артерии.
Пояснение: В данном случае кровоток по задним соединительным артериям не визуализируется, что является вариантом развития (см. рис.2.).

3.Легкая асимметрия венозного оттока по базальным синусам и внутренним яремным венам (в пределах индивидуальных особенностей развития).
Пояснение: изменения сигнальных характеристик венозного оттока не выявлено. Визуализируется асимметрия, что соответствует индивидуальным особенностям развития (см. рис.3).

4.Дегенеративно-дистрофические изменения в шейном отделе позвоночника 1 периода.
Данные изменения являются начальными проявлениями, 1 период выставлен за счет снижения высоты межпозвонковых дисков С5-6, С6-7 и формирующихся задних протрузий (см.рис.4).
Made on
Tilda